神戸大学大学院医学研究科・臨床ウイルス学 森研究室

研究内容
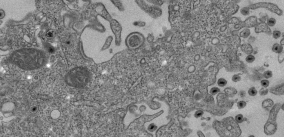
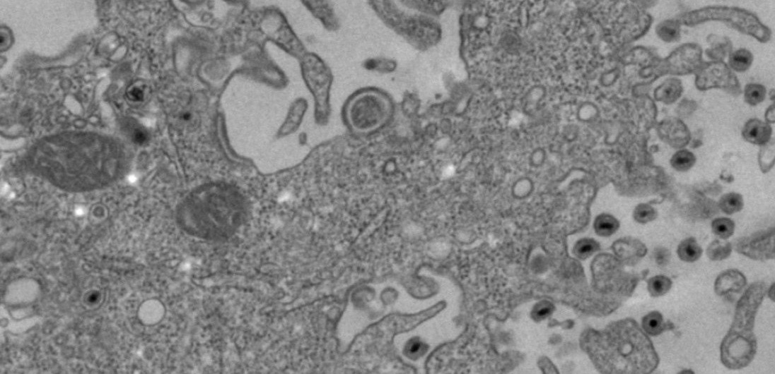
1. ヒトヘルペスウイルス-6A/B(HHV-6A and HHV-6B)に関する研究
ヒトヘルペスウイルス6(human herpesvirus 6; HHV-6)は1986年に見つかった比較的新しいヘルペスウイルスです。
ウイルスの特徴より現在は、HHV-6AとHHV-6Bに分類されています。HHV-6Bは、乳幼児期に感染して突発性発疹を引き起こし、その後は生涯にわたってヒトの体内に
潜伏感染し続けます。年間、約150例のHHV-6Bの初感染後による脳炎脳症が報告されています。ほぼ100%の成人の体内にHHV-6Bは、潜伏感染していますが、免疫抑制にある移植患者では高頻度にHHV-6Bが再活性化し脳炎や肺炎を引き起こします。薬剤過敏症症候群や多発性硬化症との関連が疑われたりと、臨床上の重要度は高いと考えられます。またHHV-6は、ウ
イルスゲノムの宿主ゲノムへのインテグレートが報告されている、大変ユニークなウイルスです。しかし、潜伏感染、インテグレーション、再活性化のメカニズム、および病態発現機構については、未だ明らかとなっていません。そして、HHV-6は、活性化したT細胞などの免疫系の細胞に感染するという非常にユニークなウイルスです。
HHV-6A/B の細胞侵入機構
ウイルス糖タンパク(リガンド)と細胞表面分子(レセプター)の相互作用は、ウイルスが細胞侵入するための必須のイベントです。また最近ではlipid
raftに代表される細胞膜の機能性ドメインが、ウイルスの侵入・出芽に重要であることが解明されつつあります。我々は2004年にHHV-6Aの宿主レセプターCD46に対するウイルス側リガンドが、gH/gL/gQ1/gQ2複合体であることを発見しました。しかし、
HHV-6Bの宿主レセプターは不明であり、長年、探し求めていましたが、2013年ついに我々はその宿主レセプターがヒトの活性化したT細胞に発現しているCD134であることを発見しました。この発見は、今まで不明であったHHV-6Bの病態解明に大きく貢献すると思われます。今後の目標は、侵入過程におけるウイルスエンベロープとT細胞膜のダイナミックな機能的・構造的変化を解明すること、そしてもちろんHHV-6Bにより引き起こされる病原発症機構を解明することです。
HHV-6A/Bの再活性化機構の解明
骨髄幹細胞移植の患者さんにおいてHHV-6Bが再活性化し、脳炎を引き起こすことが問題視されています。最近、我々は、移植後数日の患者さんのT細胞においてCD134が効率に発現し、同時期にHHV-6Bが再活性化していることを見出しました。薬剤過敏症症候群の患者さんにおいても同様の現象が見出されました(奈良医大皮膚科との共同研究)。すなわち、CD134が発現するというコンディションが、HHV-6Bの増殖を引き起こしていることが示唆されました。HHV-6Bは唾液中にも、ときおり検出されます。HHV-6Bの再活性化は通常起こっており、あるコンディションでウイルスが爆発的に増殖することが、宿主にとって問題になるのではと考えられます。そこに、CD134の発現が関与してくるのだと我々は、考えています。その機序の解明し、再活性化そのものを明らかにしたいと考えています。
HHV-6A/B感染と宿主攻防 (免疫応答)
HHV-6は、T細胞に感染します。すなわち、我々の免疫系を狂わせるといった非常に興味深い特徴を持ちます。そこで、感染によって影響を受ける免疫系宿主因子の同定を行い、ウイルス因子と宿主因子との相互作用を研究しています。またウイルスからしか観えない宿主細胞に宿る生命現象の謎解きを目指します。
HHV-6A/Bウイルスタンパク質の立体構造解析
HHV-6A/Bのゲノムにはおよそ100のウイルス因子がコードされていると推定され、それらの協調的な働きによって感染が成立し、病原性が生じていると考えられています。しかし多くはウイルス独自のタンパク質であることが配列情報から推測されており、分子としての実体は未知となっています。我々は、日本が誇る大型放射光施設SPring-8の共同利用により、HHV-6A/Bウイルスタンパク質の実体を単結晶X線構造解析法によって可視化し、タンパク質分子としての立体構造と言った観点から、その感染及び病原性への関与について解明する事を試みています。特に上述のgH/gL/gQ1/gQ2複合体では、HHV-6AとHHV-6Bでの立体構造の違いが、それぞれのウイルスでの働きに決定的な違いを生じている事が予想されるため、その全容を解明するためにgH/gL/gQ1/gQ2複合体の結晶構造解析に重点を置いて研究を行っています。
HHV-6に対するワクチン開発
HHV-6感染症は、こんなに恐ろしい病気なのに未だに予防法や治療法は存在しません。そこで、HHV-6感染症を防御できるワクチン開発を行っています。同時に抗体医薬の開発も目指しています。そして、最近、ヒト化抗体の開発に成功しました。
2. 水痘帯状疱疹ウイルス (Varicella-Zoster virus; VZV) に関する研究
水痘帯状疱疹ウイルス (Varicella-Zoster virus, VZV)は、 αヘルペスウイルス亜科に属し、約125kbpという長いDNAゲノムをもつDNAウイルスです。幼児期に初感染し、水痘を発症させます。
水痘だけなら大した病原体ではないと思われがち(水痘による死亡例もまれにある)ですが、そのような生易しいものではありません。
VZVは、水痘の消失後もそのまま一生涯、全身の神経節に潜伏します。そして高齢、疲労、病気などにより、身体の抵抗力(免疫力)が 低下した時、VZVが再活性化し、帯状疱疹を発症させます。帯状疱疹は、身体(主に頭頸部や胸部)の片側に帯状の疼痛性の発疹を発症させ、場合によって
は、症状の消失後も数年に渡って神経痛(帯状疱疹後神経痛,postherpetic neuralgia [PHN] )を伴います。帯状疱疹および
PHN により引き起こされる疼痛は日常生活に支障を来すほどストレスのかかるものであり、高齢者や有病者における生活の質 (Quality of
Life; QOL) を低下させる大きな問題のひとつに挙げられています。
しかし、極めて身近な疾患であるにもかかわらず、VZVの感染、神経節への潜伏、さらにはウイルスの再活性化のメカニズムについては、明らかでない点が多く、研究すべき課題は山ほどあります。
VZVの病原性発現機構の解析、病原性に関与するウイルス遺伝子の同定と機能解析、それらのウイルス因子が引き起こす生命現象の謎を解き、病原性発現機構の解明を目指します。VZVに対する宿主応答の解析宿主の免疫応答、特に細胞性免疫応答の低下と帯状疱疹発症の関連性を解析することによってVZVが引き起こす免疫応答やVZV再活性化の機序解明をめざします。
遺伝子組み換え多価ワクチンに関する研究
現行の水痘生ワクチンを用いた複数の感染症に対応できる新規ワクチン開発の研究を最新の組換え技法を用いて行っています。