顎口腔領域腫瘍に対する再建を含めた治療
顎口腔領域腫瘍
-
口腔癌
-
顎口腔領域にはさまざまな腫瘍が発生しますが、そのうち悪性のものを口腔癌といいます。
口腔癌は部位により舌癌、歯肉癌、頬粘膜癌、口底癌、口唇癌、口蓋癌、唾液腺癌などに分類されますが、最も頻度の高いものは舌癌で、次いで歯肉癌が多くみられます。
口腔癌の多くは中年期以降に発生し、舌癌は若年者にも多くみられます。また、口腔粘膜上皮由来の扁平上皮癌、唾液腺上皮由来の腺様嚢胞癌、その他悪性黒色腫や肉腫など、多種多様なタイプの癌が発生します。
口腔癌の約90%を占める扁平上皮癌は、増殖速度が速く頸部リンパ節への転移もしばしばみられますが、初期の段階では肺や肝臓など他臓器への転移は比較的まれであるため、早期に発見し適切な治療を行えば決して恐れることのない「治る癌」の一つです。
しかし口腔癌は病態がさまざまで、施設により治療方針は異なっているのが現状です。
当科では口腔癌の治療や研究に積極的に取り組んでおり、年間50~70件の口腔癌手術を行っています。 -
口腔癌の治療
-
口腔癌の治療法の主体は手術で、当科では早期癌では腫瘍切除、進展癌では腫瘍切除+頸部リンパ節郭清+再建手術を行っています。
切除の際にはヨード生体染色法を行い、腫瘍周囲の前癌病変も切除範囲に含めることにより、以前と比較して局所再発率は減少しました。
頸部リンパ節郭清は、内頸静脈と副神経を温存する機能的郭清を基本としており、術後の浮腫や上腕の運動障害を最小限にする工夫をしています。
再建手術は形成外科の専門チームが担当し、微小血管吻合を用いた遊離組織移植が主体となっています。再建手術の進歩により、進展癌でも手術後の審美障害・機能障害が最小限となり、早期の社会復帰が可能となりました。
また、顎骨を切除する場合、口腔癌の手術と同時に歯科インプラント(人工歯根)を埋入し術後の咀嚼障害を軽減させる試みも行っており、良好な結果が得られています。
-
実際の症例
-
早期癌、前癌病変のレーザー治療
-
進展癌(下顎歯肉癌/皮膚浸潤)の治療
-
進展口腔癌の外科切除例において、術後の嚥下障害が重篤であると予想される場合には、術前から耳鼻咽喉頭頸部外科外来の嚥下外来を受診して頂き、言語聴覚士による専門的な嚥下訓練を行っています。
また、必要であれば手術に際して、頭頸部外科医により嚥下改善術も併用しています。 -
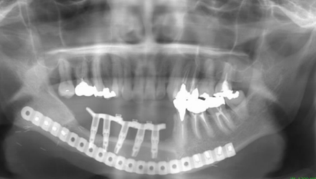
下顎歯肉癌
-
下顎骨を区域切除し、血管吻合を用いた腓骨皮弁で再建を行い、歯科インプラントを腓骨に埋入し、補綴治療を行っている。
移植した腓骨へのインプラント埋入、カスタムメイドアバットメントの作成、装着、義歯装着の流れ。
-
最後に
-
癌の部位や進展度によっては放射線治療や化学療法により治療を行うこともあります。
進展口腔癌における術後治療である化学放射線療法に関しては、当院の頭頸部腫瘍カンファレンス (口腔外科、耳鼻咽喉頭頸部外科、腫瘍放射線科、血液腫瘍内科)でその必要性を検討しています。
口腔癌の治療法や治療成績は施設によってさまざまです。医師と十分なインフォームドコンセントを行い、 患者さんご自身が納得した上で治療を受けることが重要です。
-










